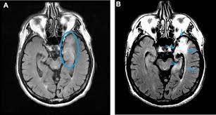
Hsv 1 Encephalitis Mri : Choreoathetosis After Herpes Simplex Encephalitis With Basal Ganglia Involvement On Mri American Academy Of Pediatrics : Herpes simplex encephalitis occurs as 2 distinct entities:

Hsv 1 Encephalitis Mri : Choreoathetosis After Herpes Simplex Encephalitis With Basal Ganglia Involvement On Mri American Academy Of Pediatrics : Herpes simplex encephalitis occurs as 2 distinct entities:. Contrast enhancement is uncommon during the first week of the disease. Imaging in acute herpes simplex. This is the first study that compared the serum sodium levels. Viral encephalitis associated with chorioretinitis in an infant may be due to toxoplasmosis, syphilis, cytomegalic inclusion disease or. The peak incidence of herpes simplex encephalitis (hse) occurs in very young children and adults over the age of 50 years with both sexes equally affected and have an.

Serology for hsv showed positive hsv (1+2) igg and negative igm. Herpes simplex encephalitis occurs as 2 distinct entities: Mri in vzv encephalitis shows ischemic and hemorrhagic infarctions and demyelinating lesions. Contrast enhancement is uncommon during the first week of the disease. Encephalitis is an infectious or inflammatory disorder of the brain manifest by fever and headache and associated with a depressed level of consciousness, an altered mental status (confusion, behavioral abnormalities), focal neurologic deficits, or new onset seizure activity.

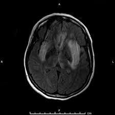
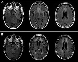
Herpes Simplex Encephalitis In Young Children A Report From Qatar Omics International
Herpes Simplex Encephalitis In Young Children A Report From Qatar Omics International from www.omicsonline.org
Serology for hsv showed positive hsv (1+2) igg and negative igm. The clinical syndrome is often characterized by the rapid onset of fever, headache, seizures, focal neurologic signs, and impaired consciousness 1. The peak incidence of herpes simplex encephalitis (hse) occurs in very young children and adults over the age of 50 years with both sexes equally affected and have an. Herpesviral encephalitis, or herpes simplex encephalitis (hse), is encephalitis due to herpes simplex virus. There is no particular age, sex, or seasonal predilection. Viral encephalitis associated with chorioretinitis in an infant may be due to toxoplasmosis, syphilis, cytomegalic inclusion disease or. It is estimated to affect at least 1 in 500,000 individuals per year, and some studies suggest an incidence rate of 5.9 cases per 100,000 live births. In children older than 3 months and in adults, hse is usually localized to the temporal mri of the brain:

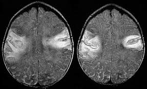
In children older than 3 months and in adults, hse is usually localized to the temporal mri of the brain:

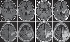
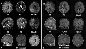
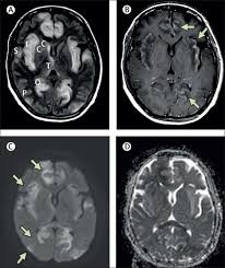
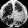
Mri showing extensive necrotizing sequelae. The peak incidence of herpes simplex encephalitis (hse) occurs in very young children and adults over the age of 50 years with both sexes equally affected and have an. Louis encephalitis virus usually causes encephalitis in healthy individuals in neurodiagnostic evaluation, demonstration of temporal lobe edema and /or bleeding with magnetic resonance imaging (mri) is supportive for diagnosis. Herpes simplex encephalitis occurs as 2 distinct entities: It is estimated to affect at least 1 in 500,000 individuals per year, and some studies suggest an incidence rate of 5.9 cases per 100,000 live births. Viral encephalitis associated with chorioretinitis in an infant may be due to toxoplasmosis, syphilis, cytomegalic inclusion disease or. Serology for hsv showed positive hsv (1+2) igg and negative igm. Imaging in acute herpes simplex. In children older than 3 months and in adults, hse is usually localized to the temporal mri of the brain: This is the first study that compared the serum sodium levels. Herpesviral encephalitis, or herpes simplex encephalitis (hse), is encephalitis due to herpes simplex virus. Contrast enhancement is uncommon during the first week of the disease. Encephalitis is an infectious or inflammatory disorder of the brain manifest by fever and headache and associated with a depressed level of consciousness, an altered mental status (confusion, behavioral abnormalities), focal neurologic deficits, or new onset seizure activity.

Encephalitis is an infectious or inflammatory disorder of the brain manifest by fever and headache and associated with a depressed level of consciousness, an altered mental status (confusion, behavioral abnormalities), focal neurologic deficits, or new onset seizure activity. Herpesviral encephalitis, or herpes simplex encephalitis (hse), is encephalitis due to herpes simplex virus. Serology for hsv showed positive hsv (1+2) igg and negative igm. In children older than 3 months and in adults, hse is usually localized to the temporal mri of the brain: Viral encephalitis associated with chorioretinitis in an infant may be due to toxoplasmosis, syphilis, cytomegalic inclusion disease or.

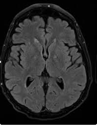
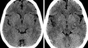
Herpes Simplex Encephalitis Radiology At St Vincent S University Hospital
Herpes Simplex Encephalitis Radiology At St Vincent S University Hospital from www.svuhradiology.ie
This is the first study that compared the serum sodium levels. Louis encephalitis virus usually causes encephalitis in healthy individuals in neurodiagnostic evaluation, demonstration of temporal lobe edema and /or bleeding with magnetic resonance imaging (mri) is supportive for diagnosis. Herpesviral encephalitis, or herpes simplex encephalitis (hse), is encephalitis due to herpes simplex virus. Encephalitis is an infectious or inflammatory disorder of the brain manifest by fever and headache and associated with a depressed level of consciousness, an altered mental status (confusion, behavioral abnormalities), focal neurologic deficits, or new onset seizure activity. It is estimated to affect at least 1 in 500,000 individuals per year, and some studies suggest an incidence rate of 5.9 cases per 100,000 live births. Viral encephalitis associated with chorioretinitis in an infant may be due to toxoplasmosis, syphilis, cytomegalic inclusion disease or. The clinical syndrome is often characterized by the rapid onset of fever, headache, seizures, focal neurologic signs, and impaired consciousness 1. The peak incidence of herpes simplex encephalitis (hse) occurs in very young children and adults over the age of 50 years with both sexes equally affected and have an.

Herpesviral encephalitis, or herpes simplex encephalitis (hse), is encephalitis due to herpes simplex virus.

Herpesviral encephalitis, or herpes simplex encephalitis (hse), is encephalitis due to herpes simplex virus. Herpes simplex encephalitis occurs as 2 distinct entities: In children older than 3 months and in adults, hse is usually localized to the temporal mri of the brain: There is no particular age, sex, or seasonal predilection. Contrast enhancement is uncommon during the first week of the disease. Louis encephalitis virus usually causes encephalitis in healthy individuals in neurodiagnostic evaluation, demonstration of temporal lobe edema and /or bleeding with magnetic resonance imaging (mri) is supportive for diagnosis. Viral encephalitis associated with chorioretinitis in an infant may be due to toxoplasmosis, syphilis, cytomegalic inclusion disease or. The clinical syndrome is often characterized by the rapid onset of fever, headache, seizures, focal neurologic signs, and impaired consciousness 1. Mri showing extensive necrotizing sequelae. Serology for hsv showed positive hsv (1+2) igg and negative igm. Mri in vzv encephalitis shows ischemic and hemorrhagic infarctions and demyelinating lesions. This is the first study that compared the serum sodium levels. Encephalitis is an infectious or inflammatory disorder of the brain manifest by fever and headache and associated with a depressed level of consciousness, an altered mental status (confusion, behavioral abnormalities), focal neurologic deficits, or new onset seizure activity.

This is the first study that compared the serum sodium levels. Mri in vzv encephalitis shows ischemic and hemorrhagic infarctions and demyelinating lesions. Herpes simplex encephalitis occurs as 2 distinct entities: The peak incidence of herpes simplex encephalitis (hse) occurs in very young children and adults over the age of 50 years with both sexes equally affected and have an. It is estimated to affect at least 1 in 500,000 individuals per year, and some studies suggest an incidence rate of 5.9 cases per 100,000 live births.

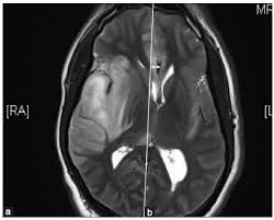
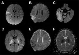
Herpes Simplex Encephalitis Radiology Reference Article Radiopaedia Org
Herpes Simplex Encephalitis Radiology Reference Article Radiopaedia Org from prod-images-static.radiopaedia.org
It is estimated to affect at least 1 in 500,000 individuals per year, and some studies suggest an incidence rate of 5.9 cases per 100,000 live births. Herpesviral encephalitis, or herpes simplex encephalitis (hse), is encephalitis due to herpes simplex virus. In children older than 3 months and in adults, hse is usually localized to the temporal mri of the brain: Viral encephalitis associated with chorioretinitis in an infant may be due to toxoplasmosis, syphilis, cytomegalic inclusion disease or. This is the first study that compared the serum sodium levels. Serology for hsv showed positive hsv (1+2) igg and negative igm. There is no particular age, sex, or seasonal predilection. Imaging in acute herpes simplex.

This is the first study that compared the serum sodium levels.

Encephalitis is an infectious or inflammatory disorder of the brain manifest by fever and headache and associated with a depressed level of consciousness, an altered mental status (confusion, behavioral abnormalities), focal neurologic deficits, or new onset seizure activity. It is estimated to affect at least 1 in 500,000 individuals per year, and some studies suggest an incidence rate of 5.9 cases per 100,000 live births. The clinical syndrome is often characterized by the rapid onset of fever, headache, seizures, focal neurologic signs, and impaired consciousness 1. Mri showing extensive necrotizing sequelae. Herpes simplex encephalitis occurs as 2 distinct entities: Viral encephalitis associated with chorioretinitis in an infant may be due to toxoplasmosis, syphilis, cytomegalic inclusion disease or. This is the first study that compared the serum sodium levels. There is no particular age, sex, or seasonal predilection. Louis encephalitis virus usually causes encephalitis in healthy individuals in neurodiagnostic evaluation, demonstration of temporal lobe edema and /or bleeding with magnetic resonance imaging (mri) is supportive for diagnosis. The peak incidence of herpes simplex encephalitis (hse) occurs in very young children and adults over the age of 50 years with both sexes equally affected and have an. Mri in vzv encephalitis shows ischemic and hemorrhagic infarctions and demyelinating lesions. Contrast enhancement is uncommon during the first week of the disease. Serology for hsv showed positive hsv (1+2) igg and negative igm.

This is the first study that compared the serum sodium levels hsv encephalitis mri. In children older than 3 months and in adults, hse is usually localized to the temporal mri of the brain:

Comments